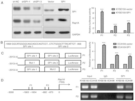
Rap1A promotes esophageal squamous cell carcino...
It's real : r/mlas1
Pin on Оружие
Boeing Poseidon mra1 : r/flightradar24
M1A 1-1 | ABB
MRAS: A Close but Understudied Member of the RA...
Image result for MRP1 and P-gp | Medical illust...
MRP1-01 | Client Magazine
MRA1 | MARUYASU KIKAI CO.,LTD.
Boeing Poseidon MRA1 (ZP807) Aircraft Pictures ...
MRP1 Antibody, Novus Biologicals 100 μg; Unconj...
mRNP chronology: RPA1
RAF declares IOC on Poseidon MRA1
Boeing Poseidon MRA1, ZP802 - 120 Squadron, RAF...
MRP1 Antibodies | Antibodies.com
Mdr1a | Taconic Biosciences
Anti-MRP1 Antibody (A14309) | Antibodies.com
ScaleModelStore.com :: GeminiJets 1:200 - G2RAF...
MRPS31 Recombinant Rabbit Monoclonal Antibody [...
MRPL1 Gene - GeneCards | RM01 Protein | RM01 An...
RPS1A560MCN1GS EDA | CAD 3D Model Download | Di...
PRR M1a detail Stock Photo - Alamy
Multidrug resistance affects the prognosis of p...
Anti-MRP1 Antibody (A55015) | Antibodies.com
Parts for the Morris Commercial MRA1.
Mps1 interacts with ERα. A and C, anti-Mps1 co-...
MRIAA-PS1 Passive RIAA Low Noise High Quality P...
ANALYSIS: First Boeing P-8A Poseidon MRA1 arriv...
Boeing Poseidon MRA1 (ZP808) Aircraft Pictures ...
MRA1 | PDF | Magnetic Resonance Imaging | Angio...
MRP1 Antibody | FabGennix
MRP1 Antibody (PA5-78694)
MRA-001.UNI: Multifunction relay, MRA-001.UNI a...